Skip to content Skip to sidebar Skip to footer

Patellofemoral Degenerative Joint Disease

Patellofemoral Arthritis Orthoinfo Aaos

Patellofemoral Arthritis Orthoinfo Aaos

Patellofemoral degenerative joint disease. And smoother than glass. Degenerative Arthritis Patellofemoral Joint Rheumatoid arthritis is a debilitating disease characterized by the swelling of the joints. Patellofemoral joint degeneration is often considered a contraindication to medial unicompartmental knee replacement.

Osteoarthritis a degenerative joint disease on the other hand also causes knee pain which is more frequent in aging individuals. Though both of these conditions have a common manifestation which is knee pain it is important to differentiate one from the other for the treatment approach. There are many structural changes responsible for such outcome including wear and tear of joint cartilage overgrowth of bone formation of osteophytes narrowing of the joint space and deformity of the entire joint.

Patellofemoral disease is one of the most problematic management issues for the orthopaedist dealing with knee reconstructive surgery. We examined the validity of this preconception using information gathered prospectively on the intra-operative status of the patellofemoral joint in 824 knees in 793 consecutive patients who underwent Oxford unicondylar knee replacement for anteromedial osteoarthritis. The articular cartilage is the cushioning that is on the ends of our bones.

Degenerative joint disease also known as osteoarthritis is due to the loss of cartilage within your joints. There are 3 techniques described in this chapter. Once nonoperative management has failed in alleviating pain and improving functionality a careful assessment to determine the underlying pathomechanics causing the degenerative process is necessary for successful management.

Sufferers experience great pains and stiffness and in addition they can even become incapable of active and of performing the simplest movements. For the purposes of this chapter patellofemoral PF degeneration is used to denote chondrosis that is more extensive than focal monopolar chondral lesions as discussed in Chapter 25. Read More 2 doctors agree.

Complaints vary from anterior knee pain to peripatellar knee pain to retropatellar knee. Degeneration of the patellofemoral joint can develop secondary to abnormal stress on the patella caused by patella alta increased Q-angle combined with secondary soft tissue problems a weakened or hypoplastic vastus medialis obliqus combined with contracture of the lateral retinaculum or deficiency of the medial patellofemoral ligament. Patellofemoral syndrome is a condition that describes pain in the front of the knee and around the kneecap known as the patella.

You may recognize it as runners knee discomfort or pain at the front of the knee behind the kneecap or patella. Degenerative joint disease is a serious medical condition that eventually leads to disability of different extent.

Patellofemoral Arthritis Orthoinfo Aaos

Patellofemoral Arthritis Orthoinfo Aaos

Patellofemoral Arthritis Orthoinfo Aaos

Patellofemoral Arthritis Orthoinfo Aaos

Patellofemoral Arthritis Orthoinfo Aaos

Patellofemoral Arthritis Orthoinfo Aaos

Sperner Classification Of Patellofemoral Osteoarthritis Grade 0 No Download Scientific Diagram

Sperner Classification Of Patellofemoral Osteoarthritis Grade 0 No Download Scientific Diagram

Patellofemoral Arthritis Springerlink

Patellofemoral Arthritis Springerlink

Patellofemoral Arthritis Of The Knee An Overview

Patellofemoral Arthritis Of The Knee An Overview

Knee Osteoarthritis An Overview Robert Howells

Knee Osteoarthritis An Overview Robert Howells

Knee Pain Due To Patellofemoral Disorders Treatments Hss

Knee Pain Due To Patellofemoral Disorders Treatments Hss

Patellofemoral Arthritis Of The Knee An Overview

Patellofemoral Arthritis Of The Knee An Overview

Patellofemoral Arthritis Orthoinfo Aaos

Patellofemoral Arthritis Orthoinfo Aaos

Patellofemoral Pain Syndrome Treatment In Nj Pain Management Doctor

Patellofemoral Pain Syndrome Treatment In Nj Pain Management Doctor

Patellofemoral Arthritis Diagnosis Causes Treatment

Patellofemoral Arthritis Diagnosis Causes Treatment

Treatment Patellofemoral Replacement

Treatment Patellofemoral Replacement

Patellofemoral Arthritis

Patellofemoral Arthritis

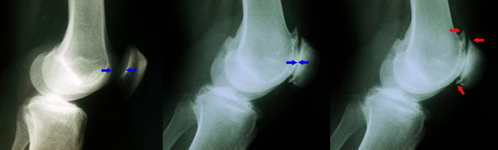
A Simple Radiographs Of A Patient Diagnosed With Patellofemoral Download Scientific Diagram

A Simple Radiographs Of A Patient Diagnosed With Patellofemoral Download Scientific Diagram

Patellofemoral Osteoarthritis Conservative And Surgical Treatment Springerlink

Patellofemoral Osteoarthritis Conservative And Surgical Treatment Springerlink

Guide To Severe Knee Arthritis Osteoarthritis Spring Loaded Technology

Guide To Severe Knee Arthritis Osteoarthritis Spring Loaded Technology

Patellofemoral Joint Replacement Kneecap Replacement Dr Likover

Patellofemoral Joint Replacement Kneecap Replacement Dr Likover

6 Types Of Arthritis That Affect The Knee

6 Types Of Arthritis That Affect The Knee

Imaging Features In Incident Radiographic Patellofemoral Osteoarthritis The Beijing Shunyi Osteoarthritis Bjs Study Bmc Musculoskeletal Disorders Full Text

Imaging Features In Incident Radiographic Patellofemoral Osteoarthritis The Beijing Shunyi Osteoarthritis Bjs Study Bmc Musculoskeletal Disorders Full Text

Patellofemoral Arthritis Diagnosis Causes Treatment

Patellofemoral Arthritis Diagnosis Causes Treatment

Patellofemoral Arthritis Knee Cap Or Syndrome

Patellofemoral Arthritis Knee Cap Or Syndrome

Patellofemoral Joint Structure Function Conditions

Patellofemoral Joint Structure Function Conditions

1

1

Understanding Knee Arthritis

Understanding Knee Arthritis

Knee Osteoarthritis An Overview Robert Howells

Knee Osteoarthritis An Overview Robert Howells

Tricompartmental Osteoarthritis Symptoms Diagnosis Treatment

Tricompartmental Osteoarthritis Symptoms Diagnosis Treatment

Patellofemoral Osteoarthritis Physiopedia

Patellofemoral Osteoarthritis Physiopedia

Tricompartmental Osteoarthritis Treatment Carrothers Orthopaedics

Tricompartmental Osteoarthritis Treatment Carrothers Orthopaedics

Degenerative Joint Disease Treatments Howard J Luks Md

Degenerative Joint Disease Treatments Howard J Luks Md

Patellofemoral Joint Pfj Pain And Osteoarthritis

Patellofemoral Joint Pfj Pain And Osteoarthritis

Patellofemoral Joint Physiopedia

Patellofemoral Joint Physiopedia

Guide To Severe Knee Arthritis Osteoarthritis Spring Loaded Technology

Guide To Severe Knee Arthritis Osteoarthritis Spring Loaded Technology

Patellofemoral Pain British Journal Of Sports Medicine

Patellofemoral Pain British Journal Of Sports Medicine

Guide To Severe Knee Arthritis Osteoarthritis Spring Loaded Technology

Guide To Severe Knee Arthritis Osteoarthritis Spring Loaded Technology

6 Types Of Arthritis That Affect The Knee

6 Types Of Arthritis That Affect The Knee

Patellofemoral Arthritis Of The Knee An Overview

Patellofemoral Arthritis Of The Knee An Overview

Patellofemoral Joint Replacement Kneecap Replacement Dr Likover

Patellofemoral Joint Replacement Kneecap Replacement Dr Likover

6 Patellofemoral Pain Syndrome Exercises Treatment For Runner S Knee

6 Patellofemoral Pain Syndrome Exercises Treatment For Runner S Knee

Patellofemoral Arthritis

Patellofemoral Arthritis

Patellofemoral Joint Pfj Pain And Osteoarthritis

Patellofemoral Joint Pfj Pain And Osteoarthritis

Patellofemoral Joint Replacement Kneecap Replacement Dr Likover

Patellofemoral Joint Replacement Kneecap Replacement Dr Likover

Isolated Patellofemoral Osteoarthritis Natural History And Clinical Presentation Springerlink

Isolated Patellofemoral Osteoarthritis Natural History And Clinical Presentation Springerlink

Bloomsbury Health Centre Patellofemoral Arthritis Legp02

Bloomsbury Health Centre Patellofemoral Arthritis Legp02

Osteoarthritis Of The Knee The Knee Doc

Osteoarthritis Of The Knee The Knee Doc

Patellofemoral Arthritis Hip And Knee Clinic

Patellofemoral Arthritis Hip And Knee Clinic

Osteoarthritis Of The Knee Radiology Reference Article Radiopaedia Org

Osteoarthritis Of The Knee Radiology Reference Article Radiopaedia Org

Knee Arthritis Osteoarthritis Surgeon Knee Replacement Advice Revision Knee Replacement

Knee Arthritis Osteoarthritis Surgeon Knee Replacement Advice Revision Knee Replacement

Https Encrypted Tbn0 Gstatic Com Images Q Tbn And9gcrpqs5o0zreknpiszpzuwsotcjkel8zxxjgdgzqhquk 8p4izv Usqp Cau

Https Encrypted Tbn0 Gstatic Com Images Q Tbn And9gcrpqs5o0zreknpiszpzuwsotcjkel8zxxjgdgzqhquk 8p4izv Usqp Cau

Degenerative joint disease is a serious medical condition that eventually leads to disability of different extent.

Osteoarthritis oa also known as degenerative arthritis or degenerative joint disease or osteoarthritis is a group of mechanical abnormalities invol. Degenerative Arthritis Patellofemoral Joint Rheumatoid arthritis is a debilitating disease characterized by the swelling of the joints. Arthritis can take many forms and its causes are not yet clear. Patellofemoral syndrome is a condition that describes pain in the front of the knee and around the kneecap known as the patella. Degeneration of the patellofemoral joint can develop secondary to abnormal stress on the patella caused by patella alta increased Q-angle combined with secondary soft tissue problems a weakened or hypoplastic vastus medialis obliqus combined with contracture of the lateral retinaculum or deficiency of the medial patellofemoral ligament. Though both of these conditions have a common manifestation which is knee pain it is important to differentiate one from the other for the treatment approach. And smoother than glass. Patellofemoral disease is one of the most problematic management issues for the orthopaedist dealing with knee reconstructive surgery. Patellofemoral joint complaints are one of the most common musculoskeletal complaints in all age groups.


You may recognize it as runners knee discomfort or pain at the front of the knee behind the kneecap or patella. Degenerative joint disease also known as osteoarthritis is due to the loss of cartilage within your joints. Arthritis can take many forms and its causes are not yet clear. Degenerative Arthritis Patellofemoral Joint Rheumatoid arthritis is a debilitating disease characterized by the swelling of the joints. We examined the validity of this preconception using information gathered prospectively on the intra-operative status of the patellofemoral joint in 824 knees in 793 consecutive patients who underwent Oxford unicondylar knee replacement for anteromedial osteoarthritis. Though both of these conditions have a common manifestation which is knee pain it is important to differentiate one from the other for the treatment approach. Once nonoperative management has failed in alleviating pain and improving functionality a careful assessment to determine the underlying pathomechanics causing the degenerative process is necessary for successful management.

Post a Comment for "Patellofemoral Degenerative Joint Disease"