Skip to content Skip to sidebar Skip to footer

Starke Schmerzen Nach Zahntaschenreinigung

Parodontosebehandlung Umfassender Experten Ratgeber Dentalwissen

Parodontosebehandlung Umfassender Experten Ratgeber Dentalwissen

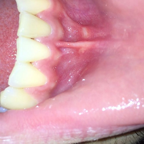
Starke schmerzen nach zahntaschenreinigung. Diagnose der Parodontitis Klassischerweise wird bei schmerzfreien Patienten die Parodontitis bei der Routineuntersuchung oder der professionellen Zahnreinigung diagnostiziert. Das hört sich nach einer Fistel an die sich entleert hat. Du muss JETZT aktiv werden.

Danach hat sie die Zahntaschen von denen schon manche extrem tief sind. Starke Schmerzen nach einer Zahntaschenreinigung. Der Schmerz verschwindet mit jeder Stunde und verschwindet am zweiten Tag wenn dies nicht passiert müssen Sie zum Zahnarzt gehen und die Ursache der Komplikation herausfinden.

Der Eiter kann im schlimmsten Fall eine Blutvergiftung verursachen. Ging es zuhause los als die Betäubung nachließ. Abhängig vom Patientenstamm und vor allem je nach Hygienestandard der Praxis sind diese Belastungen geringer oder stärker ausgeprägt.

Dann ist vielleicht Ihr Zahnfleisch entzündet. Aus diesem Grund empfehlen wir vor und nach der Professionellen Zahnreinigung die oben genannte Desinfektion durchzunehmen. Während und nach der Parodontosebehandlung treten in der Regel keine Schmerzen auf.

Vor der Reinigung werden die betroffenen Bereiche örtlich betäubt da die Zahnhälse sehr schmerzempfindlich sind und die zahnärztlichen Instrumente bei der Reinigung der Taschen Schmerzen verursachen können. Und wenn der Zahn gezogen werden müsste wirkt oft bei so einer Vereiterung die Spritze ganz schlecht. Oftmals klagen Patienten lediglich über einen wunden Mund der durch ein entzündetes Zahnfleisch entsteht.

Oder Sie trotz täglicher Pflege unter anhaltendem Mundgeruch leiden. Hallo ich werde zur Zeit behandelt da ich in der Vorstufe zur Paradontitis bin 23 Jahre. Zahnfleischtaschen werden unterschieden in Pseudotaschen und echte Taschen.

Sie haben Auffälligkeiten in Ihrem Mundraum festgestellt. Entzündung mit Schwellungen Eine Zahnfleischtasche oder auch Zahntasche entsteht dann wenn sich das Zahnfleisch vom Zahn zurückzieht.

Zahnfleischtaschen Professionell Reinigen Behandlung

Zahnfleischtaschen Professionell Reinigen Behandlung

Schmerzfreie Zahnfleischbehandlung Parodontosebehandlung

Schmerzfreie Zahnfleischbehandlung Parodontosebehandlung

Schmerzen Bei Und Nach Der Parodontosebehandlung

Schmerzen Bei Und Nach Der Parodontosebehandlung

Schmerzfreie Zahnfleischbehandlung Parodontosebehandlung

Schmerzfreie Zahnfleischbehandlung Parodontosebehandlung

W Zahntaschenreinigung Und Behandlung Schmerzen Nach Reinigung 2021

W Zahntaschenreinigung Und Behandlung Schmerzen Nach Reinigung 2021

Parodontose Diagnose Ursachen Behandlung

Parodontose Diagnose Ursachen Behandlung

Parodontosebehandlung

Parodontosebehandlung

Parodontitis Therapie Schmerzhaft Trusted Dentists

Parodontitis Therapie Schmerzhaft Trusted Dentists

Zahnfleischtaschen Professionell Reinigen Behandlung

Zahnfleischtaschen Professionell Reinigen Behandlung

W Zahntaschenreinigung Und Behandlung Schmerzen Nach Reinigung 2021

W Zahntaschenreinigung Und Behandlung Schmerzen Nach Reinigung 2021

Kontrolle Der Zahnfleischtaschen Tiefer Spalt Im Fleisch Stern De

Kontrolle Der Zahnfleischtaschen Tiefer Spalt Im Fleisch Stern De

Parodontitis Wikipedia

Parodontitis Wikipedia

Was Kann Ich Gegen Schmerzen Am Zahnfleisch Nach Einer Zahnreinigung Machen Gesundheit Und Medizin Gesundheit Medizin

Was Kann Ich Gegen Schmerzen Am Zahnfleisch Nach Einer Zahnreinigung Machen Gesundheit Und Medizin Gesundheit Medizin

Parodontitis Parodontose Selber Erkennen Und Behandeln Dentalplanet

Parodontitis Parodontose Selber Erkennen Und Behandeln Dentalplanet

Bitte Helft Mir Es Tut So Weh Gesundheit Und Medizin Zahne Zahnarzt

Bitte Helft Mir Es Tut So Weh Gesundheit Und Medizin Zahne Zahnarzt

Dauer Einer Zahnfleischentzundung

Dauer Einer Zahnfleischentzundung

W Schmerzen Nach Parodontosebehandlung Wie Lange Schmerzen 2021

W Schmerzen Nach Parodontosebehandlung Wie Lange Schmerzen 2021

Parodontose Systematische Behandlung Vom Spezialisten

Parodontose Systematische Behandlung Vom Spezialisten

Schmerzempfindliche Zahne Eine Herausforderung Fur Die Praxis Zwp Online Das Nachrichtenportal Fur Die Dentalbranche

Schmerzempfindliche Zahne Eine Herausforderung Fur Die Praxis Zwp Online Das Nachrichtenportal Fur Die Dentalbranche

Zahnkronen Brucken In Ungarn Bilder Zahnklinik Zahnarzt Ungarn Diamant Dent Zahnklinik Zahnarzt Ungarn Professionelle Zahnbehandlungen

Zahnkronen Brucken In Ungarn Bilder Zahnklinik Zahnarzt Ungarn Diamant Dent Zahnklinik Zahnarzt Ungarn Professionelle Zahnbehandlungen

Parodontitis Therapie Was Zahlt Die Kasse Verbraucherzentrale De

Parodontitis Therapie Was Zahlt Die Kasse Verbraucherzentrale De

Schmerzfreie Zahnfleischbehandlung Parodontosebehandlung

Schmerzfreie Zahnfleischbehandlung Parodontosebehandlung

Zahnprothese Nicht Zufriedenstellend Zahne Krankenkasse Arztbesuch

Zahnprothese Nicht Zufriedenstellend Zahne Krankenkasse Arztbesuch

1

1

Zahnfleisch Entzundung Parodontitis So Behandelt Sie Der Zahnarzt Youtube

Zahnfleisch Entzundung Parodontitis So Behandelt Sie Der Zahnarzt Youtube

Wurzelbehandlung Dauer Verlauf Schmerzen Dentolo

Wurzelbehandlung Dauer Verlauf Schmerzen Dentolo

Chronische Parodontitis Hilfe Fur Angstpatienten Gzfa

Chronische Parodontitis Hilfe Fur Angstpatienten Gzfa

W Zahntaschenreinigung Und Behandlung Schmerzen Nach Reinigung 2021

W Zahntaschenreinigung Und Behandlung Schmerzen Nach Reinigung 2021

Parodontitsbehandlung Dr Schweikart Verlag

Parodontitsbehandlung Dr Schweikart Verlag

Parodontosebehandlung Ablauf Und Kosten Der Therapie

Parodontosebehandlung Ablauf Und Kosten Der Therapie

Schmerzen Nach Einer Zahnentfernung Was Tun Muhlheimdental

Schmerzen Nach Einer Zahnentfernung Was Tun Muhlheimdental

Parodontitis Gesundes Zahnfleisch Zahnarzt Team Luzern Dr Schulte

Parodontitis Gesundes Zahnfleisch Zahnarzt Team Luzern Dr Schulte

Kieferentzundung Ursachen Symptome Und Behandlung Liebenswert Magazin

Kieferentzundung Ursachen Symptome Und Behandlung Liebenswert Magazin

W Zahntaschenreinigung Und Behandlung Schmerzen Nach Reinigung 2021

W Zahntaschenreinigung Und Behandlung Schmerzen Nach Reinigung 2021

Patientenfrage Extreme Schmerzen Bei Zahntaschenreinigung

Patientenfrage Extreme Schmerzen Bei Zahntaschenreinigung

Parodontose Und Zahnfleischbehandlung Marl Zahnarzt Marl Huthmacher Puttmann Isfort

Parodontose Und Zahnfleischbehandlung Marl Zahnarzt Marl Huthmacher Puttmann Isfort

Zahnschmerzen Hausmittel Was Hilft Wirklich Herold At

Zahnschmerzen Hausmittel Was Hilft Wirklich Herold At

Zahnschmerzen Was Wirklich Gegen Paradontitis Hilft Welt

Zahnschmerzen Was Wirklich Gegen Paradontitis Hilft Welt

W Schmerzen Nach Parodontosebehandlung Wie Lange Schmerzen 2021

W Schmerzen Nach Parodontosebehandlung Wie Lange Schmerzen 2021

Parodontosebehandlung Umfassender Experten Ratgeber Dentalwissen

Parodontosebehandlung Umfassender Experten Ratgeber Dentalwissen

Parodontosebehandlung Umfassender Experten Ratgeber Dentalwissen

Parodontosebehandlung Umfassender Experten Ratgeber Dentalwissen

Lockere Zahne Ursache Hilfe Behandlung Dentolo

Lockere Zahne Ursache Hilfe Behandlung Dentolo

W Zahntaschenreinigung Und Behandlung Schmerzen Nach Reinigung 2021

W Zahntaschenreinigung Und Behandlung Schmerzen Nach Reinigung 2021

Wurzelbehandlung Dauer Verlauf Schmerzen Dentolo

Wurzelbehandlung Dauer Verlauf Schmerzen Dentolo

Zahnschmerzen Nach Zahnfullung Arten Ursachen Dentolo

Zahnschmerzen Nach Zahnfullung Arten Ursachen Dentolo

Krankschreibung Nach Einem Gezogenen Zahn Wissenswertes Zahnersatzsparen De

Krankschreibung Nach Einem Gezogenen Zahn Wissenswertes Zahnersatzsparen De

W Zahntaschenreinigung Und Behandlung Schmerzen Nach Reinigung 2021

W Zahntaschenreinigung Und Behandlung Schmerzen Nach Reinigung 2021

Parodontitis Wikipedia

Parodontitis Wikipedia

1

1

Vor der Reinigung werden die betroffenen Bereiche örtlich betäubt da die Zahnhälse sehr schmerzempfindlich sind und die zahnärztlichen Instrumente bei der Reinigung der Taschen Schmerzen verursachen können.

Wer schon nach professionellen Zahnreinigungen von schmerzhaften Zahnfleischreizungen. Dafür sprechen auch lockere Zähne und Mundgeruch der trotz gründlicher Pflege nicht verschwindet. Es ist mehr ein unangenehmes Gefühl denn wirkliche Schmerzen. Danach hat sie die Zahntaschen von denen schon manche extrem tief sind. Abhängig vom Patientenstamm und vor allem je nach Hygienestandard der Praxis sind diese Belastungen geringer oder stärker ausgeprägt. Da scheint ein sehr große Eiteransammlung zu sein. Extreme Schmerzen bei Zahntaschenreinigung. Essen und Trinken geht auch noch kaum - ich weiß nur noch eins wenn der. Die Schmerzen sind zwar spürbar aber durchaus auszuhalten.


Oder Sie trotz täglicher Pflege unter anhaltendem Mundgeruch leiden. Litten Sie nach einer professionellen Zahnreinigung bereits unter schmerzenden Zahnfleischreizungen steigt die Wahrscheinlichkeit dass Sie nach der Behandlung der Parodontose ebenso Schmerzen erleiden. Oder Sie trotz täglicher Pflege unter anhaltendem Mundgeruch leiden. Während und nach der Parodontosebehandlung treten in der Regel keine Schmerzen auf. Du muss JETZT aktiv werden. Es ist mehr ein unangenehmes Gefühl denn wirkliche Schmerzen. Ging es zuhause los als die Betäubung nachließ.

Post a Comment for "Starke Schmerzen Nach Zahntaschenreinigung"