Skip to content Skip to sidebar Skip to footer

Löcher Im Knochen Nach Metallentfernung

Materialentfernung Von Platte Schraube Marknagel Und Fixateur

Materialentfernung Von Platte Schraube Marknagel Und Fixateur

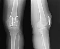
Löcher im knochen nach metallentfernung. Die ist hart und sehr spitz und lässt sich nicht bewegen. Obwohl ein Schraubenloch noch lange im Röntgenbild nachweisbar ist kommt es zu einer fortschreitenden Geflechtknochenbildung die die Stresskonzentration im Schraubenloch zunehmend herabsetzt. Bei Knie-OPs wird die Metallentfernung in der Regel cirka nach einem Jahr durchgeführt.

Es kommt darauf an. Sollten Metallteile weggebrochen sein werden die dann auch im Knochen belassen die tun nix. Daher ist es sinnvoll alle Drähte die im Bereich von Knochen oder Gelenken liegen zu entfernen.

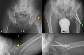
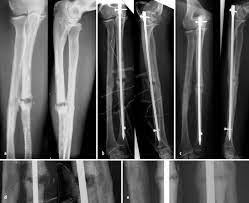
Bei den dabei verwendeten sogenannten Marknägeln handelt es sich meist um Implantate aus Titan oder Edelstahl. Die Diagnose Multiples Myelom in Deutschland fälschlicherweise oft mit dem solitären Plasmozytom gleichgesetzt löst Schock Angst und Ratlosigkeit aus. Es blieben subtrochantär große Löcher im Femur mit einer lateralen kortikalen Lücke von 12x12 mm und einer weiteren.

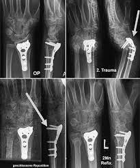
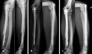
1 2 3 4 5 6. Hier ist die Radiusfraktur nicht mit einer Platte sondern mit Kirschnerdrähten erfolgt. Wenn nun diese Schrauben entfernt werden kann es passieren dass die Knochen dann keinen Halt mehr haben und auseinander oder zusammen fallen.

Um was für eine Erkrankung handelt es sich. Ich habe neulich das Gleiche bei einem Schrank erlebt. Zu Wundheilungsstörungen Wundinfektionen Blutungen oder Blutergüssen Verletzung von Gefäßen Nerven oder Sehnen kommen.

Immerhin wird das Bein bin zum Knochen geöffnet Gewebe und Muskeln durchtrennt und es verbleiben Löcher in den Knochen. Die Schraube im Schenkelhals ließ sich noch lösen die zwei Verriegelungsschrauben jedoch nicht - die Schraubenköpfe brachen ab die Gewinde wurden überbohrt und brachen wieder ab. Da die Drähte bei auch nur leichter Lockerung eine Gefahr für Strecksehen darstellen gibt es sehr gute Gründe die Kirschnerdrähte zu entfernen.

Obwohl sehr selten kann es im Rahmen der Metallentfernung ua. Nein dies ist ein völlig normaler Befund.

Metallentfernungen Springerlink

Metallentfernungen Springerlink

Osteosynthese Wikiwand

Osteosynthese Wikiwand

Wie Lauft Die Knochenheilung Ab Sportsandmedicine Com

Wie Lauft Die Knochenheilung Ab Sportsandmedicine Com

Intramedullare Nagelosteosynthese Der Ulna In Der Revisionschirurgie Springerlink

Intramedullare Nagelosteosynthese Der Ulna In Der Revisionschirurgie Springerlink

Implantatassoziierte Pseudarthrosen Wie Kann Man Sie Vermeiden Pdf Kostenfreier Download

Implantatassoziierte Pseudarthrosen Wie Kann Man Sie Vermeiden Pdf Kostenfreier Download

Osteosynthese Wikipedia

Osteosynthese Wikipedia

Osteosynthese Wikiwand

Osteosynthese Wikiwand

Intramedullare Nagelosteosynthese Der Ulna In Der Revisionschirurgie Springerlink

Intramedullare Nagelosteosynthese Der Ulna In Der Revisionschirurgie Springerlink

Muss Das Material Nach Behandlung Eines Knochenbruches Entfernt Werden Gesundheitskompass

Muss Das Material Nach Behandlung Eines Knochenbruches Entfernt Werden Gesundheitskompass

Orthoforum Unterarmfraktur

Orthoforum Unterarmfraktur

Distale Radius Fraktur Platte Schrauben Rontgenbild Gesundheit Und Medizin Gesundheit Operation

Distale Radius Fraktur Platte Schrauben Rontgenbild Gesundheit Und Medizin Gesundheit Operation

Metall Aus Knochen Entfernen Oder Drinlassen Seite 2 Mtb News De

Metall Aus Knochen Entfernen Oder Drinlassen Seite 2 Mtb News De

Pdf Rekonstruktion Nach Unterschenkelfehlheilung

Pdf Rekonstruktion Nach Unterschenkelfehlheilung

Https Core Ac Uk Download Pdf 11033154 Pdf

Https Core Ac Uk Download Pdf 11033154 Pdf

Distale Radius Fraktur Platte Schrauben Rontgenbild Gesundheit Und Medizin Gesundheit Operation

Distale Radius Fraktur Platte Schrauben Rontgenbild Gesundheit Und Medizin Gesundheit Operation

Osteosynthese Wikipedia

Osteosynthese Wikipedia

Pdf Intramedull Re Nagelosteosynthese Der Ulna In Der Revisionschirurgie

Pdf Intramedull Re Nagelosteosynthese Der Ulna In Der Revisionschirurgie

Metallentfernung Chirurgische Praxisklinik Friederike Zimmermann

Metallentfernung Chirurgische Praxisklinik Friederike Zimmermann

Sprunggelenkfraktur Wikiwand

Sprunggelenkfraktur Wikiwand

Orthoforum Unterarmfraktur

Orthoforum Unterarmfraktur

Intramedullare Nagelosteosynthese Der Ulna In Der Revisionschirurgie Springerlink

Intramedullare Nagelosteosynthese Der Ulna In Der Revisionschirurgie Springerlink

Https Www Thieme Connect De Products Ejournals Pdf 10 1055 S 0036 1585258 Pdf

Https Www Thieme Connect De Products Ejournals Pdf 10 1055 S 0036 1585258 Pdf

Metallentfernung Schrauben Abgebrochen Operation Pro

Metallentfernung Schrauben Abgebrochen Operation Pro

Https Www Intercus De Fileadmin User Upload Op Techniken Intercus De Opt Xs Xxs Nagel Icpop06 02 Pdf

Https Www Intercus De Fileadmin User Upload Op Techniken Intercus De Opt Xs Xxs Nagel Icpop06 02 Pdf

Intramedullare Nagelosteosynthese Der Ulna In Der Revisionschirurgie Springerlink

Intramedullare Nagelosteosynthese Der Ulna In Der Revisionschirurgie Springerlink

Knochen Zysten Einfuhrung Operation Pro

Knochen Zysten Einfuhrung Operation Pro

Klavikulafraktur Wikiwand

Klavikulafraktur Wikiwand

Radiosurf

Radiosurf

Https Www Thieme Connect De Products Ebooks Pdf 10 1055 B 0034 73909 Pdf

Https Www Thieme Connect De Products Ebooks Pdf 10 1055 B 0034 73909 Pdf

Osteosynthese Wikipedia

Osteosynthese Wikipedia

Handgelenksarthrose

Handgelenksarthrose

Https Opus4 Kobv De Opus4 Fau Files 1155 Dissertationm Kleine Bibliothek Pdf

Https Opus4 Kobv De Opus4 Fau Files 1155 Dissertationm Kleine Bibliothek Pdf

Fuss Und Sprunggelenk Gelenkzentrum Bergisch Land

Fuss Und Sprunggelenk Gelenkzentrum Bergisch Land

Aus Der Praxis Praxis Dr Med Ullrich Rehme Fridolfing Ihr Chirurg Vor Ort

Aus Der Praxis Praxis Dr Med Ullrich Rehme Fridolfing Ihr Chirurg Vor Ort

Platte Rausmachen Nach Schlusselbeinbruch Vor 2 Jahren Mtb News De

Platte Rausmachen Nach Schlusselbeinbruch Vor 2 Jahren Mtb News De

Patellafraktur Wikipedia

Patellafraktur Wikipedia

Komplikationen Der Tarsometatarsale I Arthrodese Modifizierte Lapidus Arthrodese Sciencedirect

Komplikationen Der Tarsometatarsale I Arthrodese Modifizierte Lapidus Arthrodese Sciencedirect

Ergebnisse Und Verlauf Von Unterarmschaftfrakturen Bei Erwachsenen Pdf Free Download

Ergebnisse Und Verlauf Von Unterarmschaftfrakturen Bei Erwachsenen Pdf Free Download

Frakturen Des Unterkiefers

Frakturen Des Unterkiefers

Chronik Einer Sprunggelenkfraktur Sky Junkies

Chronik Einer Sprunggelenkfraktur Sky Junkies

Https Www Intercus De Fileadmin User Upload Op Techniken Intercus De Opt Xs Xxs Nagel Icpop06 02 Pdf

Https Www Intercus De Fileadmin User Upload Op Techniken Intercus De Opt Xs Xxs Nagel Icpop06 02 Pdf

Https Core Ac Uk Download Pdf 11033154 Pdf

Https Core Ac Uk Download Pdf 11033154 Pdf

Https Www Oegkv At Fileadmin User Upload Lv Steiermark Grechenig Prinzipielle Ueberlegungenmetallentfernung Pdf

Https Www Oegkv At Fileadmin User Upload Lv Steiermark Grechenig Prinzipielle Ueberlegungenmetallentfernung Pdf

Https Www Thieme Connect Com Products Ejournals Pdf 10 1055 A 0902 3639 Pdf

Https Www Thieme Connect Com Products Ejournals Pdf 10 1055 A 0902 3639 Pdf

Http Geb Uni Giessen De Geb Volltexte 2004 1665 Pdf Repmannjacqueline 2003 05 26 Pdf

Http Geb Uni Giessen De Geb Volltexte 2004 1665 Pdf Repmannjacqueline 2003 05 26 Pdf

Frakturen Durch Materialentfernungen Springerlink

Frakturen Durch Materialentfernungen Springerlink

Knocheninfektion Osteomyelitis Ursachen Symptome Therapie

Knocheninfektion Osteomyelitis Ursachen Symptome Therapie

Https Www Oegkv At Fileadmin User Upload Lv Steiermark Grechenig Prinzipielle Ueberlegungenmetallentfernung Pdf

Https Www Oegkv At Fileadmin User Upload Lv Steiermark Grechenig Prinzipielle Ueberlegungenmetallentfernung Pdf

Frakturen Des Unterkiefers

Frakturen Des Unterkiefers

Es wurde schließlich alles Metall entfernt aber leider zu einem hohen Preis.

Gelegentlich ist es nicht möglich das Material vollständig zu entfernen so dass es auch vorkommen kann dass Reste des Metalls im Körper belassen werden müssen. Ich habe neulich das Gleiche bei einem Schrank erlebt. Die Stabilität sollte nach der Entfernung kein Problem sein weil die Schrauben und Nägel immer versetzt angeordet sind also die Löcher nie über- untereinander lägen. Die ist hart und sehr spitz und lässt sich nicht bewegen. Sollten Metallteile weggebrochen sein werden die dann auch im Knochen belassen die tun nix. Hier ist die Radiusfraktur nicht mit einer Platte sondern mit Kirschnerdrähten erfolgt. Obwohl ein Schraubenloch noch lange im Röntgenbild nachweisbar ist kommt es zu einer fortschreitenden Geflechtknochenbildung die die Stresskonzentration im Schraubenloch zunehmend herabsetzt. Hierbei wird in manchen Fällen lediglich die einzelne Stellschraube entfernt wobei die komplette Metallentfernung ungefähr nach einem Jahr beginnt. Auch nach einem Jahr kann man im Röntgenbild nach einer Schraubenentfernung die Schraubenkanäle gut erkennen.


In so einem Fall ist es sinnvoll nach der Metallentfernung Reha und. 1 2 3 4 5 6. Das liegt oft an der Fehlstellung die durch die erlittene Verletzung hervorgerufen wurde. In so einem Fall ist es sinnvoll nach der Metallentfernung Reha und. Auf dem einen Bild hängt ganz vorne am Schlüsselbein nahe hals eine Spitze aus dem Knochen die je nach Bewegung oder Berührung auch Weh tut Leider nicht so gut zu erkennen auf dem Bild. Komplizierte Brüche können nach der Metallentfernung immer noch Schmerzen bereiten. Immerhin wird das Bein bin zum Knochen geöffnet Gewebe und Muskeln durchtrennt und es verbleiben Löcher in den Knochen.

Post a Comment for "Löcher Im Knochen Nach Metallentfernung"