Skip to content Skip to sidebar Skip to footer

Pap Iva-p

Pap Iva P

Pap Iva P

Pap iva-p. RöFo - Fortschritte auf dem Gebiet der Röntgenstrahlen und der bildgebenden Verfahren. Aged less than 20 years old p 00001. Scribd is the worlds largest social reading and publishing site.

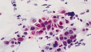
IIID Pap smear samples are subcategorized in Munich III in mild dysplasia IIID 1 and moderate dysplasia IIID 2. The variables with important association to cervical lesions in the VIA were. Καλησπέρα γιατρέ επίδει μένω Γερμανία εδώ τα έχουν διαφορετικά τα τεστ παπ αλλά για να.

Bei diesem Befund liegen schwere Zellveränderungen vor. Ein operativer Eingriff ist oft nicht zu umgehen. Abstract Background Incidence of anal carcinoma is increased in people living with HIV PLWH.

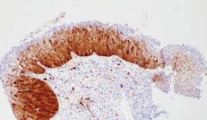
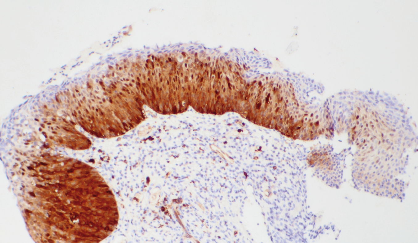
The majority of precancerous lesions of the lower female genital tract intraepithelial neoplasia IN are caused by human papillomavirus HPV infections resulting in cellular atypia and in turn an altered tissue architecture. 525 25 16 Pap IVa-p CIN3 Positive Normal 526 20 gr12A Pap II-p CIN3 Negative Normal 547 27 16 gr. Pap IVa bedeutet dass der Verdacht auf eine schwere Gewebeveränderung oder auf Krebs im Frühstadium In-situ-Karzinom besteht.

A Biblioteca Virtual em Saúde é uma colecao de fontes de informacao científica e técnica em saúde organizada e armazenada em formato eletrônico nos países da Região Latino-Americana e do Caribe acessíveis de forma universal na Internet de modo compatível com as bases internacionais. The two methods are not competing but complementary. The aim of colposcopy and cytology is to identify and plan the treatment of premalignant diseases of the cervix vagina vulva and the perianal region.

Differences between two groups were tested for statistical significance using Students t-test and Mann-Whitney U-test as appropriate. Frauenheilkunde up2date Senologie - Zeitschrift für Mammadiagnostik und -therapie. IVbV Unmittelbare Vorstadien oder Krebs Malignom IVb-p IVb-g.

Abstrichuntersuchung Pap-Test Befunde der zytologischen Früherkennungsuntersuchung werden anhand der sogenannten Münchner Nomenklatur in verschiedene Gruppen eingeteilt. One or more partners in the last three months p 0015.

Pap Iva P

Pap Iva P

Pap Iva P

Pap Iva P

Pap Iva P

Pap Iva P

Detlef Merchel Frauenarzt Nottuln

Detlef Merchel Frauenarzt Nottuln

Pap Iva P

Pap Iva P

Toda A Abordagem Pratica Que Inclui Mostrar As Diferentes Funcionalidades No Portal Das Financas Relacionadas Com O Pap Na Formacao Perdas Por Imparidade Em Dividas A Receber E Creditos Incobraveis Implicacoes

Toda A Abordagem Pratica Que Inclui Mostrar As Diferentes Funcionalidades No Portal Das Financas Relacionadas Com O Pap Na Formacao Perdas Por Imparidade Em Dividas A Receber E Creditos Incobraveis Implicacoes

Pap Veranderungen Altes Problem Neuer Therapieansatz Ausgabe 3 2013 Paracelsus Magazin

Pap Veranderungen Altes Problem Neuer Therapieansatz Ausgabe 3 2013 Paracelsus Magazin

Pap Iiid 2 Tendenz Pap Iva P

Pap Iiid 2 Tendenz Pap Iva P

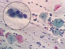
Cytology Zoom On Twitter High Grade Squamous Intraepithelial Lesion Hisl Note The Coarse Chromatin And Inconspicuous Nucleoli As Well As The Thickened Irregular Nuclear Outlines Nuclear To Cytoplasmic N C Are Almost 1 1 Cytology Zytologie

Cytology Zoom On Twitter High Grade Squamous Intraepithelial Lesion Hisl Note The Coarse Chromatin And Inconspicuous Nucleoli As Well As The Thickened Irregular Nuclear Outlines Nuclear To Cytoplasmic N C Are Almost 1 1 Cytology Zytologie

Paulo Marques So Proveitos Saber Fazer Fazer Saber Apresentacao E Certificacao De Pedido De Autorizacao Previa Por Contabilistas Certificados O Orcamento Do Estado Para 2020 Introduziu A Possibilidade

Paulo Marques So Proveitos Saber Fazer Fazer Saber Apresentacao E Certificacao De Pedido De Autorizacao Previa Por Contabilistas Certificados O Orcamento Do Estado Para 2020 Introduziu A Possibilidade

Cytology Zoom On Twitter High Grade Squamous Intraepithelial Lesion Hisl Note The Coarse Chromatin And Inconspicuous Nucleoli As Well As The Thickened Irregular Nuclear Outlines Nuclear To Cytoplasmic N C Are Almost 1 1 Cytology Zytologie

Cytology Zoom On Twitter High Grade Squamous Intraepithelial Lesion Hisl Note The Coarse Chromatin And Inconspicuous Nucleoli As Well As The Thickened Irregular Nuclear Outlines Nuclear To Cytoplasmic N C Are Almost 1 1 Cytology Zytologie

Comparison Of Pap Smear Samples Classified In Munich Ii And Munich Iii Download Table

Comparison Of Pap Smear Samples Classified In Munich Ii And Munich Iii Download Table

Papeis De Parede Geometricos Padrao Geometrico Simples Rosa E Preto Sala De Estar Decoracao De Parede Para Parede Papel De Papel Pap Parede Aliexpress

Papeis De Parede Geometricos Padrao Geometrico Simples Rosa E Preto Sala De Estar Decoracao De Parede Para Parede Papel De Papel Pap Parede Aliexpress

Apneia Obstrutiva Do Sono E Ronco Primario Tratamento

Apneia Obstrutiva Do Sono E Ronco Primario Tratamento

Gebarmutterhalskrebs Fruherkennung Oncgnostics Erklart Fachbegriffe Und Deren Abkurzungen Oncgnostics Gmbh

Gebarmutterhalskrebs Fruherkennung Oncgnostics Erklart Fachbegriffe Und Deren Abkurzungen Oncgnostics Gmbh

Um Presentinho Para Todas Nos Moldes Aqui E Aqui Ainda Essa Semana Far Molde Boneca De Pano Boneca De Pano Vintage Padroes De Boneca

Um Presentinho Para Todas Nos Moldes Aqui E Aqui Ainda Essa Semana Far Molde Boneca De Pano Boneca De Pano Vintage Padroes De Boneca

Pap Iva P

Pap Iva P

Pinkie Blue Artigos Para Festa Medidor De Baloes P A P

Pinkie Blue Artigos Para Festa Medidor De Baloes P A P

Pap Test Praxis Heuser Nover

Pap Test Praxis Heuser Nover

Vorstufen Von Gebarmutterhalskrebs Untersuchungen Und Behandlung

Vorstufen Von Gebarmutterhalskrebs Untersuchungen Und Behandlung

Laflet Iva Pap Smear

Laflet Iva Pap Smear

Conta Foto De Varanda Da Estrela Covilha Tripadvisor

Conta Foto De Varanda Da Estrela Covilha Tripadvisor

Papel De Parede Infantil Arte De Balao Para Quarto Das Criancas Decoracao Pap Parede Aliexpress

Papel De Parede Infantil Arte De Balao Para Quarto Das Criancas Decoracao Pap Parede Aliexpress

1

1

Cytology Zoom On Twitter High Grade Squamous Intraepithelial Lesion Hisl Note The Coarse Chromatin And Inconspicuous Nucleoli As Well As The Thickened Irregular Nuclear Outlines Nuclear To Cytoplasmic N C Are Almost 1 1 Cytology Zytologie

Cytology Zoom On Twitter High Grade Squamous Intraepithelial Lesion Hisl Note The Coarse Chromatin And Inconspicuous Nucleoli As Well As The Thickened Irregular Nuclear Outlines Nuclear To Cytoplasmic N C Are Almost 1 1 Cytology Zytologie

Como Fazer Laco De Croche Simples Pap Passo A Passo Cida Reis Youtube Lacos De Croche Lacos De Cabelo Em Croche Croche

Como Fazer Laco De Croche Simples Pap Passo A Passo Cida Reis Youtube Lacos De Croche Lacos De Cabelo Em Croche Croche

Pap Parede Geometrico Para Sala De Estar E Quarto Do Miudo Papeis De

Pap Parede Geometrico Para Sala De Estar E Quarto Do Miudo Papeis De

Pap Parede Geometrica E Ponto Preto Para Camera Papel De Parede Papeis

Pap Parede Geometrica E Ponto Preto Para Camera Papel De Parede Papeis

Pap Hig Doble C 12un F Trip 20mt Gtin Ean Upc 7896233701875 Cadastro De Produto Com Tributacao E Ncm Cosmos

Pap Hig Doble C 12un F Trip 20mt Gtin Ean Upc 7896233701875 Cadastro De Produto Com Tributacao E Ncm Cosmos

540 Ideias De Costuras De Iva Em 2021 Padrao De Costura Costura Para Iniciantes Costura

540 Ideias De Costuras De Iva Em 2021 Padrao De Costura Costura Para Iniciantes Costura

Rastreamento Para Cancer De Colo Uterino O Que Ha De Novo

Rastreamento Para Cancer De Colo Uterino O Que Ha De Novo

Molde De Sacola De Papel Para Lembrancinha Artesanato Passo A Passo Sacolas De Papel Como Fazer Caixa De Papel Molde Sacola De Papel

Molde De Sacola De Papel Para Lembrancinha Artesanato Passo A Passo Sacolas De Papel Como Fazer Caixa De Papel Molde Sacola De Papel

Pap Parede Geometrica E Ponto Preto Para Camera Papel De Parede Papeis

Pap Parede Geometrica E Ponto Preto Para Camera Papel De Parede Papeis

Caminho De Mesa De Croche Passo A Passo Para Iniciantes Ideias Decoracao

Caminho De Mesa De Croche Passo A Passo Para Iniciantes Ideias Decoracao

Pdf Method Comparison Between Munich Ii And Iii Nomenclature For Pap Smear Samples

Pdf Method Comparison Between Munich Ii And Iii Nomenclature For Pap Smear Samples

Papel Higienico Duetto C 12 30mts Perfumado F D Gtin Ean Upc 7896026800679 Cadastro De Produto Com Tributacao E Ncm Cosmos

Papel Higienico Duetto C 12 30mts Perfumado F D Gtin Ean Upc 7896026800679 Cadastro De Produto Com Tributacao E Ncm Cosmos

Vista Frontal Do Restaurante Foto De Turpial Fatima Tripadvisor

Vista Frontal Do Restaurante Foto De Turpial Fatima Tripadvisor

E Um Blog Onde Voce Aprende Artesanato Com Passo A Passo E Moldes Para Quem Quer Enfeitar A Sua Casa Ou Obter Uma Ren Chapeus Country Molde De Chapeu Country

E Um Blog Onde Voce Aprende Artesanato Com Passo A Passo E Moldes Para Quem Quer Enfeitar A Sua Casa Ou Obter Uma Ren Chapeus Country Molde De Chapeu Country

Luz Cinza Cor Fundo Branco Lua Amarelo Estrelas Nuvem Dos Desenhos Animados Quarto Do Miudo Toda A Decoracao Desconto Tamanho Do Cliente Papel De Parede Pap Parede Aliexpress

Luz Cinza Cor Fundo Branco Lua Amarelo Estrelas Nuvem Dos Desenhos Animados Quarto Do Miudo Toda A Decoracao Desconto Tamanho Do Cliente Papel De Parede Pap Parede Aliexpress

Avancos Em Aparelhos Orais Para Apneia Obstrutiva Do Sono

Avancos Em Aparelhos Orais Para Apneia Obstrutiva Do Sono

Pdf Method Comparison Between Munich Ii And Iii Nomenclature For Pap Smear Samples

Pdf Method Comparison Between Munich Ii And Iii Nomenclature For Pap Smear Samples

Secondary Prevention Of Cervical Cancer

Secondary Prevention Of Cervical Cancer

Certificado De Assinatura Digital Anteprojeto Pap Exemplos

Certificado De Assinatura Digital Anteprojeto Pap Exemplos

Secondary Prevention Of Cervical Cancer

Secondary Prevention Of Cervical Cancer

File Rekonstrukce Staromestske Radnice 1aao0427 Jpg Wikimedia Commons

File Rekonstrukce Staromestske Radnice 1aao0427 Jpg Wikimedia Commons

Laflet Iva Pap Smear Lanjutan

Laflet Iva Pap Smear Lanjutan

Pap Parede Geometrico Para Sala De Estar E Quarto Do Miudo Papeis De

Pap Parede Geometrico Para Sala De Estar E Quarto Do Miudo Papeis De

Https Www Scielo Br Pdf Reeusp V44n4 08 Pdf

Https Www Scielo Br Pdf Reeusp V44n4 08 Pdf

Tapete De Croche Caminho De Mesa Ideias Decoracao

Tapete De Croche Caminho De Mesa Ideias Decoracao

Differences between two groups were tested for statistical significance using Students t-test and Mann-Whitney U-test as appropriate.

Abstract Background Incidence of anal carcinoma is increased in people living with HIV PLWH. Results Many different cytology classification systems exist worldwide. PDF A considerable proportion of high grade cervical intraepithelial lesions CIN23 are known to resolve on their own especially among young women. As a screening method. Pap IVa bedeutet dass der Verdacht auf eine schwere Gewebeveränderung oder auf Krebs im Frühstadium In-situ-Karzinom besteht. Differences between two groups were tested for statistical significance using Students t-test and Mann-Whitney U-test as appropriate. Due to the improved life expectancy in PLWH identifying appropriate prevention strategies for non-AID. The majority of precancerous lesions of the lower female genital tract intraepithelial neoplasia IN are caused by human papillomavirus HPV infections resulting in cellular atypia and in turn an altered tissue architecture. PAP V indiziert die Existenz eines bösartigen Gebärmutterhalskarzinoms das in tieferes Gewebe einzudringen droht.


PAP V indiziert die Existenz eines bösartigen Gebärmutterhalskarzinoms das in tieferes Gewebe einzudringen droht. 12A Pap IIID2 CIN3 Positive Gain 561 28 gr12A Pap IIID2 CIN3 Negative Normal 562 29 gr12A Pap III-p CIN3 Negative Normal 563 28 16 gr12A Pap IVa-p CIN3 Negative Gain 584 27 16 Pap IVa-p CIN3 Positive Gain 587 29 18 Pap IIID2 CIN2 Negative Gain 497 28 16 Pap IVa-p CIN3. IVbV Unmittelbare Vorstadien oder Krebs Malignom IVb-p IVb-g. The majority of precancerous lesions of the lower female genital tract intraepithelial neoplasia IN are caused by human papillomavirus HPV infections resulting in cellular atypia and in turn an altered tissue architecture. Pap IVa bedeutet dass der Verdacht auf eine schwere Gewebeveränderung oder auf Krebs im Frühstadium In-situ-Karzinom besteht. Pap IVa-p Pap IVa-g Pap IVb-p und Pap IV b-g. 525 25 16 Pap IVa-p CIN3 Positive Normal 526 20 gr12A Pap II-p CIN3 Negative Normal 547 27 16 gr.

Post a Comment for "Pap Iva-p"